服務名稱: 油紅O染色實驗服務
規格: 樣本
實驗周期: 3周
說明: 含包埋切片(建議做冰凍切片)
價格: 100元
油紅O染色實驗服務
油紅0染色簡介:
油紅0脂肪染色法是指在日常病理診斷和科研工作中為了顯示組織內的脂肪常采用油紅0進行染色的方法,油紅0為脂溶性染料,在脂肪內能高度溶解,可特異性的使組織內甘油三酯等中性脂肪著色。
油紅0染色實驗意義:
正常情況下,除脂肪細胞外其他細胞內-般不見或僅見少量脂滴。在病理狀態下如這些細胞中出現脂滴或脂滴明顯增多,特別是在心、肝.腎等實質器官發生脂肪變性時,胞漿內出現大小不一的空泡, 這時常需鑒別空泡性質,用脂肪染色來區分是脂肪變性還是水樣變性或糖原貯留。在動脈粥樣硬化時,內皮細胞下的脂質沉著,用脂肪染色能將脂質清晰地顯示出來。由脂肪組織病變所弓|起的脂肪栓塞可用脂肪染色顯示栓子內的脂質,從而確診脂肪栓塞。用于腫瘤組織的鑒別診斷,由脂肪組織所發生的腫瘤在與其他組織來源的腫瘤相區分時,可以借助脂肪染色,脂肪組織所發生的腫瘤,脂肪染色為陽性。并可根據所顯示的細胞形態特點與類似腫瘤進行鑒別,腎透明細胞癌與腎上腺瘤,卵巢纖維瘤與卵泡膜細胞瘤。皮脂腺瘤與鱗狀細胞癌的鑒別診斷有意義。
實驗步驟:
1.固定:將冰凍切片復溫干燥10min;細胞爬片4%多聚甲醛固定15min,PBS漂洗3次, 5min/次。
2.染色:入油紅0工作液孵育10-15min;細胞爬片破膜10-15min, PBS漂洗3次,5min次, 入油紅工作液37°C染色1-2h。
3.分化: 75%酒精分化2s,水洗1min。
4、復染細胞核: Harris蘇木素復染1-2min左右, 自來水洗,1%的鹽酸酒精分化數秒,自來水沖洗,氨水返藍,流水沖洗。
5、封片:用紙巾吸去周邊水分,甘油明膠封片。
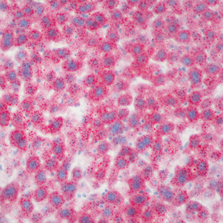
實驗結果:
脂滴呈橘紅色至鮮紅色:細胞核呈深藍色。
實驗技巧:
1.油紅0是對脂類物質進行染色,石蠟切片在處理過程中脂類物質無法保存,所以石蠟切片不能進行油紅0染色。
2.油紅0染液使用一段時間后,染出的脂滴顏色會偏黃,此時就需要更換染液。
3.油紅染色時,動作要輕,因為脂滴易移位,并且在封片時應避免蓋玻片滑動。















客服01